В Оренбурге хирурги провели сложную операцию на позвоночнике девочки, упавшей с качелей

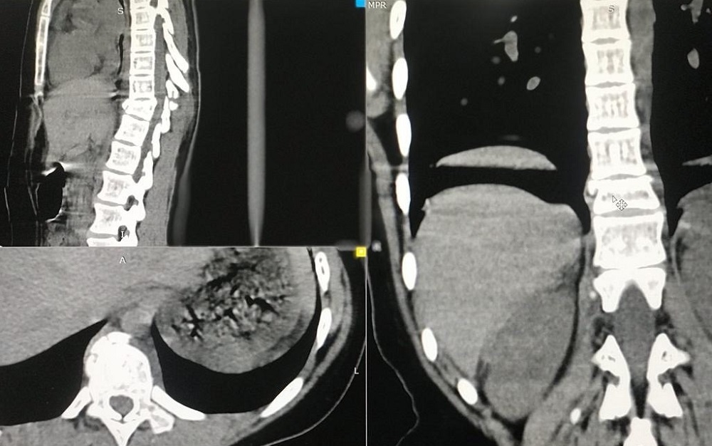
4 мая хирурги-травматологи Областной детской клинической больницы провели сложную трёхчасовую операцию на позвоночнике ребёнка и установили специальную фиксирующую конструкцию.

4 мая хирурги-травматологи Областной детской клинической больницы провели сложную трёхчасовую операцию на позвоночнике ребёнка и установили специальную фиксирующую конструкцию.

В последних числах апреля девочка каталась с друзьями на качелях и упала. Врачи диагностировали перелом позвоночника с деформацией и ушибы внутренних органов.

Было принято решение о проведении операции под полным рентген-контролем. Оперативное вмешательство выполнили Дмитрий Казюлин и Иван Четвериков, за рентген-аппаратом работал Олег Игнатов.

12 мая девочку выписали. Прогнозы врачей пока очень осторожные.

Оренбуржье

Последние новости

Семейные традиции и их значение в современном обществе

Разбор значения семейных традиций, их роли в укреплении поколенческих связей и формировании устойчивых ценностей.

Почему россияне всё чаще выбирают карты Казахстана

Финансовая привычка, которая из исключения превратилась в тренд

Почему китайский - язык будущего: 7 причин начать учить его прямо сейчас

От деловой карьеры до культурного кругозора - почему китайский становится новым языком возможностей

Когда скидки превращаются в ловушку: как маркетологи учат нас тратить

Почему “-50% только сегодня” не всегда значит выгоду, как скидки играют на эмоциях и почему даже рациональные люди становятся жертвами маркетинговых трюков.

На этом сайте вы сможете узнать актуальные данные о погоде в Кузнецке, включая прогнозы на ближайшие дни и часы

Комментарии (0)

Добавить комментарий

Ваш email не публикуется. Обязательные поля отмечены *